Latest Contribution
In conversation with the editors of European Archives of ORL-HNS
The journal European Archives of ORL-HNS (EAORL) is a truly pan-European endeavour and has been hugely successful. With an Impact Factor (IF) of 2.6, it is now on a par with Laryngoscope. We spoke to some of the senior editors...
In conversation with the editors of European Archives of ORL-HNS
The journal European Archives of ORL-HNS (EAORL) is a truly pan-European endeavour and has been hugely successful. With an Impact Factor (IF) of 2.6, it is now on a par with Laryngoscope. We spoke to some of the senior editors...
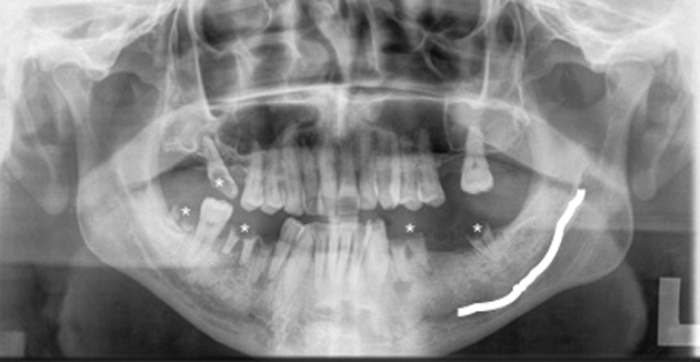
Radiology of referred otalgia
Otalgia is a common presenting complaint to Ear Nose and Throat Departments. Otalgia is either primary or secondary (referred) [1]. Referred otalgia is a ‘red flag’ symptom and can be a diagnostic challenge for clinicians and radiologists as the pathology...

  
			
  
			