How I Do It archive for 2014
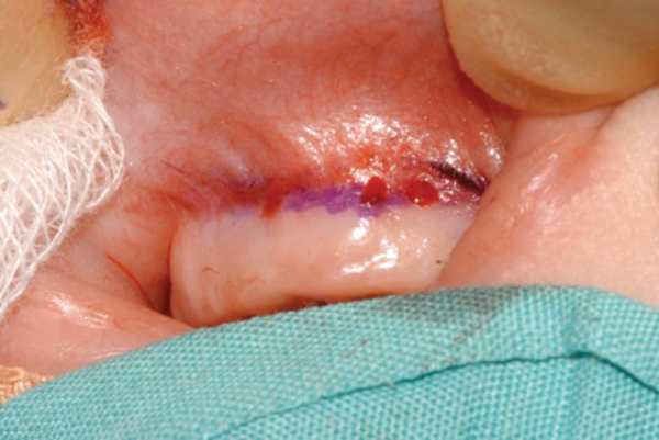
Reduction thyroplasty
Introduction Male to female transgendered patients are referred to ENT for reduction thyroplasty – a procedure to reduce the external appearance of the thyroid cartilage of the larynx, and feminisation of the voice. Reduction thyroplasty, often erroneously called ‘tracheal shave’,...
Endoscopic Dacryocystorhinostomy
Epiphora, or abnormal tearing, occurs because of blockage in the lacrimal drainage system, which impairs normal tear channeling into the nose. Dacryocystorhinostomy (DCR) is used to treat patients diagnosed with lacrimal sac or nasolacrimal duct obstruction (NLDO). External DCR was...
Foreign object removal from the ear or nose
The range of nasal and aural foreign bodies that present to accident and emergency (A&E) departments, emergency rooms and minor injury units is limited only by the imagination. Aetiology and epidemiology statistics point to patients being predominantly children in the...
Surgical management of congenital nasal pyriform aperture stenosis
Introduction Congenital nasal pyriform aperture stenosis (CNPAS) is a rare cause of neonatal upper airway obstruction which was first described by Douglas in 1952 [1]. The first radiological description of CNPAS was described by Ey et al in 1988 [2]....
Use of Elasticated Hooks in Open Rhinoplasty
Introduction Good exposure is an essential requisite in open rhinoplasty and often requires appropriate assistance to aid surgery. Frequently, surgeons lack adequate assistance in theatre and often have to depend on the scrub nurse for retraction. A self-retaining retractor is...


 
 
	    	  
	     
 
	    	  
	     
 
	    	  
	     
 
	    	  
	     
 
	    	  
	     
		
 
        