ENT features
IEM – no noise is good noise!
Whether you’re an active musician or a music-loving commuter, noise exposure via music is a very real concern. Musician, sound engineer and Puretone Sales Manager, Deke Frickey, looks at where the dangers lie and the best ways to overcome them....
Optimising hearing aid processing for music appreciation
Hearing aid manufacturers’ main focus has, up until recently, been improvement of speech intelligibility. Today’s hearing aid users have much broader demands however and often cite improved music perception as a key outcome or goal. Drs Tish Ramirez and Rebecca...
BTA Plug’em campaign – teaching young people how to enjoy live music safely
In today’s world of ever-increasing sound levels, the Plug’em campaign, run by the British Tinnitus Association (BTA), is highlighting the issue of tinnitus caused by loud music in people aged 16-25 years old. The purpose of the campaign is to...
A patient-centred approach from the patient’s point of view
Seeking help for hearing loss is often a big step for patients. Shari Eberts, a hearing health advocate living with hearing loss, explains why, and gives us her five top tips to improve patient-centred care in such cases. Sensorineural hearing...
The James Lind Alliance – involving patients and their health professionals jointly in setting priorities for research
In a world of patient-reported outcomes and patient-centred care, patient-centred research must also be considered. That is where the James Lind Alliance (JLA) comes in, as Caroline Whiting explains below. Through Priority Setting Partnerships (PSPs), it allows patients, their carers...
Effects of blast and acoustic trauma: assessment of hearing status on war veterans
Introduction Acoustical conditions of the military are often dangerous and there is a real risk of blast trauma and acoustic trauma [1, 2]. Levels of military noises maybe reach up to 125 dBA [3]. Weapons produce instant shock waves (10μs)...
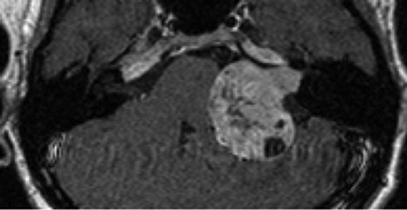
Imaging tinnitus
Tinnitus is a common sensation with a reported prevalence of 7-32%. The British National Study of Hearing recorded that 10% of adults suffered from prolong spontaneous tinnitus, and approximately a quarter of these are subsequently referred to hospital for investigation...
Developing a telemedical approach to tinnitus treatment for a worldwide market
Most of us have probably met at least one person in our lives who suffers from the notorious ringing in the ear, tinnitus. For many this ringing becomes a nightmare and debilitates them. Tinnitus is defined as the perception of...
Development of the iAudiometer™
Why the iAudiometer™? We have developed six versions of a new software called iAudiometer™ that performs an array of different audiometric tests using an iPad with standard transducers (TDH-39 headphones, B-71 BC, aural domes, or inserts) (Figure 1; Table 1)....
Funding your otolaryngology / audiology idea by partnering with the US Department of Defense
The United States Department of Defense (DoD) has been an effective partner in many of our current medical technology advancements, from the surgical robot, to improved clotting wound dressings, to better blood products. For the otolaryngology and audiology entrepreneur looking...


