ENT features
Planes, trams, and auditoriums: Beware predatory conferencing
Predatory conferences are a growing concern. First highlighted in our sister magazine, Eye News*, the issue affects all areas of medicine – including ENT and audiology. With inboxes filling up with flattering invitations to ‘global’ meetings in glamorous destinations, it’s...
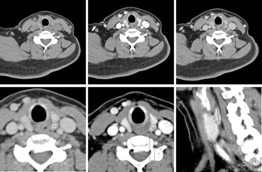
Transoral endoscopic thyroidectomy / parathyroidectomy – a new approach
Historically, scarless surgery has been popular in certain cultures. But is it gaining traction around the world? A UK team tell us more. Background Alternative, remote access approaches to thyroidectomy and parathyroidectomy are increasing in popularity, the newest of these...
Monstrous craws and horrid butchery: a concise history of thyroid surgery
Prior to the foundation of our speciality, thyroid surgery had a dubious reputation and universally dismal outcomes. Jenny Walton casts a critical eye over this dark chapter. Diseases of the thyroid gland have been referenced in historic texts for well...
The changing landscape of thyroid and parathyroid surgery
How has clinical practice in the management of thyroid and parathyroid disease has evolved in recent years? I perform very few head & neck operations where the patient tells me just one week following surgery that they ‘feel much better’....
Thyroid cancer – the last decade
Professor Ashok Shaha describes the evolution in the treatment of thyroid cancer that he has witnessed over the last decade and the invaluable progress made by himself and others, from their contributions to staging systems and guidelines. Nuances and paradigm...
Intraoperative nerve monitoring: 2017
Having written the definitive text on laryngeal nerves, Gregory Randolph and Dipti Kamani describe the benefits of intraoperative neural monitoring and, importantly, how to proceed if the nerve is pathologically involved or there is loss of signal. Over the years,...
Lessons learned from running a national thyroid surgery registry
The UK Registry of Endocrine and Thyroid Surgery is now yielding the rewards of meticulous data collection and years of hard work. David Scott-Coombes discusses the advantages and the unintended consequences of their success. The British Association of Endocrine and...
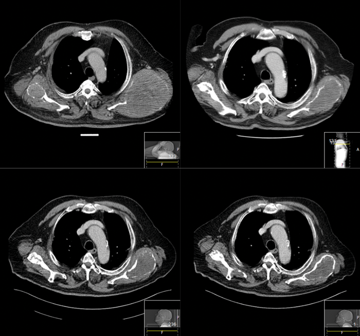
Surgical challenges in advanced or recurrent thyroid malignancy
The management of thyroid malignancy and extent of surgery is controversial, especially considering the limitations of preoperative diagnosis. Neil Tolley provides guidance and reminds us of our responsibility not to over-treat. In the UK, 16% of thyroidectomies are performed for...
Systemic agents in thyroid cancer
For those patients who have disseminated or unresectable thyroid cancer, Dr Arabella Hunt and Dr Kate Newbold review systemic treatments, their differences, toxicities and outcomes. Thyroid cancer is the most common endocrine malignancy. It is subdivided into differentiated (papillary, follicular...
The role, aims and organisation of the 2017 IFOS World Congress
IFOS is a truly international organisation – indeed, its rules state that the Executive Committee must have representation from every continent. IFOS President, Chong Sun Kim, tells us more. Dear friends and colleagues, I am very pleased to welcome all...
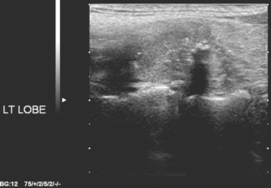
Thyroid nodules – time for a rational imaging approach
“The more you know, the harder it is to take decisive action. Once you become informed, you start seeing complexities and shades of gray. You realize that nothing is as clear as it first appears. Ultimately, knowledge is paralyzing.” Calvin,...
Thyroid ultrasound elastography: does nodule stiffness predict malignancy?
Approximately 50% of the general population has a thyroid nodule while 5-15% of these are malignant [1]. A major challenge, therefore, is how to detect the malignant nodules for appropriate, timely treatment and avoid unnecessary, costly investigations for the remainder....


