How I Do It
Random-pattern skin flaps: part 1 – advancement flaps
In the first of a short series covering random pattern skin flaps and their use in clinical practice (see Part 2 here, Part 3 here and Part 4 here), Christopher Thompson and Miles Bannister describe in some detail their techniques...
Finding the right balance: remote dizzy patient consultation during a pandemic
During the COVID pandemic, all our working patterns have changed. One significant impact had been on the management of outpatient consultations and the increase in telephone consultations and enhanced vetting. In this article the authors share their experience of managing...
Face shield modification in ENT during COVID-19 pandemic
The COVID pandemic has caused a huge disruption to our lives, not least at work where safety restrictions and the widespread implementation of PPE have led to some challenges to carrying out routine ENT work. In this article, the authors...
Endoscopic stapes surgery
Traditionally middle ear surgery, including stapes surgery, has been performed using the operating microscope. In this article the authors describe their experience with endoscopic middle surgery and share some of its advantages. Trans-canal endoscopic ear surgery (TEES) is now a...
Retrieval of an aspirated voice prosthesis in the awake laryngectomised patient
In this article, the authors describe a simple and effective technique for extracting an aspirated voice prosthesis from within the tracheobronchial tree in the awake laryngectomised patient using the Ambu® aScopeTM 4 Broncho endoscope. Surgical voice restoration remains the dominant...
Triple semicircular canal occlusion and Meniere’s disease: a rising alternative treatment?
Patients with dizziness form a large part of the workload for ENT surgeons. In the overwhelming majority of cases, management will be medical and successful. However, occasionally some patients present a challenge when they have not responded to conventional treatments....
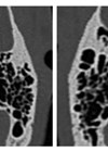
SCOTLAND preoperative tympanomastoid CT temporal bone mnemonic system
Learning how to interpret a CT scan of the temporal bones can be a daunting task, especially for a head and neck surgeon like me! However, to make life easier, the authors have devised a useful system to help cover...
Pinnaplasty for prominent ears
Pinnaplasty is a challenging yet rewarding procedure for which many different techniques have been described. In this article the authors describe their favoured technique, including the important postoperative care. Prominent ears can be a source of significant psychological distress in...
Management of benign oesophageal strictures
Benign strictures of the upper oesophagus and pharynx, while not very common, can be a challenging condition to successfully manage. The authors of this article provide us with a detailed description of their technique for using the CO2 laser, balloon...
Awake transnasal laryngeal and pharyngeal biopsy in the unsedated patient
In an attempt to improve the efficiency and flow of patients through a busy ENT clinic, technology now allows the ENT surgeon to consider biopsies in the outpatient setting on a more regular and controlled basis. This can avoid the...
Percutaneous fibre guided laser surgery of the endolarynx
Occasionally, getting access to the larynx for an intervention can be challenging. Markus Hess and Susanne Fleischer describe a novel way to perform laser treatment in such difficult instances. Fibre guided office-based endolaryngeal laser surgery has developed to be a...
Endoscopic excision of cholesteatoma
In this article Vikranth Visvanathan describes an exciting development on the use of endoscopic technology in complex otological practice. Transcanal endoscopic ear surgery (TEES) is rapidly evolving as a recognised method of addressing middle ear and mastoid pathology. Since its...


